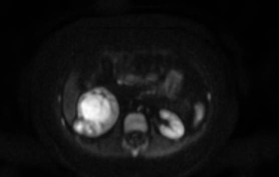
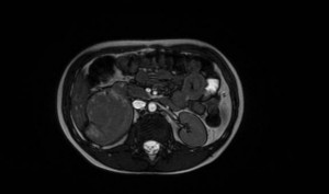
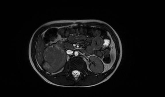
Здравствуйте!! Прошу помощи единоразовой , так как все сбережения после выхода на больничный за свой счёт уже иссякли и у родственников так же нет возможности уже помочь.У моего ребёнка на обычном приеме УЗИ , выявили гипоэхогенное образование почки 6,5 мм. Диагноз предварительный ( опухоль Вильмса?) .Нас отправили на МРТ , так как очередь была внушающая на бесплатный приём ,а нас ( напугали ) что ребёнок останется без почки надо быстро действовать ,мы записались на платный приём без контраста . Диагноз по МРТ так же подтвердил данную опухоль .Мы записались в срочном порядке к онкологу в Москву ,нас направили для подтверждения диагноза на КТ с контрастом уже бесплатно в самом центре , но при этом нужно сдать анализы ( креатинин ,мочевина, и онкомаркер ) .Диагноз все тот же , предполагается опухоль злокачественная Вильмса. Так кк мы живём не в самом городе а за 31 км от него , очень много денег ушло на саму дорогу плюс платное МРТ , плюс 4 поездки в Москву .Уже сдали на креатинин и мочевину . Не хватает денег на анализ онкомаркер ( 3120+ 160 за сбор крови) цена за срочность , изготовление результата за 1 кд ,результат не почту . А так делают за 4-7 кд дней потому что увозят в Москву и цена 1560 .А нам в понедельник надо быть уже на КТ в Москве с результатами анализов . Пожалуйста помогите собрать на онкомаркер , умоляю !
ЭЛ.почта . [email protected]
Номер кошелька 4890 4945 4296 0562
Сумма не такая большая, но у меня физически нет возможности быстро её собрать .Я в разводе , на алименты подала уже давно , бывший муж не оплачивает их и находится в розыске .Из родных только мама, которая помогает как может сейчас..Мама уже на пенсии диабетчица, я работаю одна на нашу маленькую семью и стараюсь как могу.Размер образования уже очень большой и я очень переживаю((((
Помогите собрать на анализ ( онкомаркер NSE)Диагноз Нефробластома ⇐ Материальная поддержка
-
Автор темыElena.u
- Всего сообщений: 2
- Зарегистрирован: 06.09.2019
- Откуда: Московская область
- Пол: женский
- Статус: прохожий
-
inna.tarasova
- Всего сообщений: 1617
- Зарегистрирован: 26.12.2018
- Пол: женский
Re: Помогите собрать на анализ ( онкомаркер NSE)Диагноз Нефробластома
Вам бы, когда Вы были в Москве в медцентре, сделать в Гемотесте, у них на сайте по коду на чеке в личном кабинете уже к вечеру (максимум на следующий день) уже можно посмотреть и распечатать свои анализы. Уже бы на прием с ними приехали.
-
Автор темыElena.u
- Всего сообщений: 2
- Зарегистрирован: 06.09.2019
- Откуда: Московская область
- Пол: женский
- Статус: прохожий
Re: Помогите собрать на анализ ( онкомаркер NSE)Диагноз Нефробластома
Я это уже поняла когда приехали домой , и начав обзванивать городской мед центр мне сказали что делать будут от 4 до 7 суток потому что в Москву отправляют . Сама очень сглупила в тот момент , была уже с сумкой для госпитализации и спишили на последний автобус когда нас отправили после приёма домой ( .В итоге сказали что положат нас 9 после КТ..
А сейчас что бы ехать в Москву , у меня выйдет та же стоимость что сделать в городе срочный анализ .. ((
Отправлено спустя 3 минуты 10 секунд:
Да и онколог мне не сказала что этот анализ делается долго , если сдавать не в Москве .Хотя она видела что мы живём очень далеко и не в городе. Я даже не думала что цена может быть такой...
А сейчас что бы ехать в Москву , у меня выйдет та же стоимость что сделать в городе срочный анализ .. ((
Отправлено спустя 3 минуты 10 секунд:
Да и онколог мне не сказала что этот анализ делается долго , если сдавать не в Москве .Хотя она видела что мы живём очень далеко и не в городе. Я даже не думала что цена может быть такой...
-
- Похожие темы
- Ответы
- Просмотры
- Последнее сообщение
-
- 0 Ответы
- 378 Просмотры
-
Последнее сообщение Александра Павлоград
-
- 6 Ответы
- 481 Просмотры
-
Последнее сообщение Анна23021993a
-
- 4 Ответы
- 529 Просмотры
-
Последнее сообщение inna.tarasova
Мобильная версия
